Servicii oferite

Protetica Dentara

Atunci cand un dinte este foarte deteriorat si aparent pare irecuperabil, se poate repara cu ajutorul coroanelor dentare. O coroana dentara este indicata pentru a proteja un dinte fracturat, pentru a reconstitui un dinte foarte cariat sau pentru a oferi rezistenta unui dinte la care a fost efectuat un tratament de canal.

Daca totusi dintele nu mai poate fi salvat si este extras, spatiul lipsa poate fi completat fie printr-o lucrare protetica (punte dentara), fie cu ajutorul unui implant dentar.

Coroanele si puntile dentare sunt lucrari protetice fixe (cimentate). Daca pacientul pierde un numar mare de dinti, se confectioneaza o proteza dentara care trebuie indepartata zilnic, pentru igienizare (lucrare protetica mobila).

In cabinetul nostru se realizeaza urmatoarele lucrari protetice la cele mai inalte standarde estetice si tehnologice:

Lucrari protetice din portelan fara suport metalic
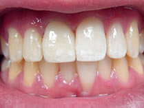
Inainte
Dupa

Se folosesc in special in zona frontala datorita unei estetici deosebite.

Aligned right
Lucrari protetice din portelan cu suport metalic Au-Pt, Cr-Co

Aceste lucrari protetice sunt estetice si rezistente in timp.

Lucrari protetice din portelan cu schelet din zirconiu
Lucrari protetice din portelan
Lucrari protetice din portelan

Se realizeaza printr-o tehnologie computerizata oferind o calitate estetica deosebita. Lucrarile de portelan pe schelet de zirconiu sunt cele mai moderne lucrari protetice si sunt cele mai bine tolerate de organism(biocompatibilitate). Se recomanda pentru estetica deosebita pe care o ofera si pacientilor cu alergii la metalele Cr, Ni, Co.

Lucrari fixe pe implanturi
Lucrari fixe pe implanturi

Cand pacientul are edentatii mari care nu pot fi inlocuite decat cu proteze mobilizabile, implantul dentar este ultima optiune pentru a avea o proteza fixa, asigura confort, eficienta masticatorie si estetica deosebita.

Proteze scheletate
Proteze totale pe implanturi

Lucrari protetice care inlocuiesc dintii lipsa si care se ancoreaza de dintii prezenti prin sisteme speciale: balamale, capse, asigurand o pozitie fixa in cavitatea bucala si un confort deosebit.

Proteze mobile acrilice
Proteze mobile acrilice

Lucrarile protetice care redau confortul functional si estetic in cazul edentatiilor mari si totale.

Proteze mobile elastice
Proteze mobile elastice

Protezele elastice asigura un confort crescut in special in situatile nefavorabile.